反対咬合 症例004
歯並び咬み合わせを審美歯科セラミック修復によって治療した症例
主訴:
奥歯がないのでインプラントをしたい。この機会にかみ合わせも含め全体的にきれいにしていきたい。

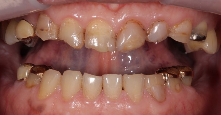
【術前】



(1)診断用ワックスアップで咬合挙上量と治療の必要な部位を調べ、患者さまに最終のイメージをつかんでもらいます。


(2)咬合を挙上し、咬み合わせを安定させるための仮歯を作成します。

(3)ワックスアップを参考に歯をサイズダウンし、歯並びや歯の形、色などを患者さんと相談しながら仮歯を作成します。
BOPTで、正中や歯肉のラインの左右対称性など、より美しく再現していきます。
ポイント
最初に両側下顎臼歯部にインプラントを行い、仮歯で咬合咀嚼を確保しました。治療期間を通して常に患者様の食生活と審美(QOL)を確保することがとても大切なことです。 その後噛み合わせを挙上して、反対咬合から正常咬合にすることで、顎のしゃくれ観がなくなり、顔貌が大きく改善しました。BOPT
BOPTとは、生物学的形成テクニックというヨーロッパを中心に注目されている最新の審美技術です。BOPTの特徴は、歯そのものを美しくするだけでなく、従来のセラミックよりも歯肉になじみやすく左右対称の歯肉ラインを美しく実現できる点があげられます。
また、清掃性を改善し、口腔内細菌を減らして歯の喪失を減らすとともに、歯周病を改善することで、健康面への効果も期待できます。
【仮歯】


【オールセラミック施術後】



| 施術開始 | 2019.10 |
|---|---|
| 年齢・性別 | 56才 男性 |
| 治療期間 | 1年10ヵ月 |
| 材質・治療費用 | 前歯ジルコニアレイヤ 11万円×12本 臼歯ジルコニアクラウン 8万円×10本 インプラント部位 33~35万円×4本 |
|
臼歯部の噛み合わせを上げます。また、歯を一回り削る必要があります。 必要部位にインプラント治療を施術しています。 |
|


















