反対咬合 症例003
歯並び咬み合わせを審美歯科セラミック修復によって治療した症例
主訴:
半年後に結婚します。何とか・・・

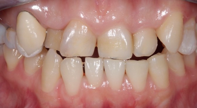
【術前】



(1)診断用ワックスアップで咬合挙上量と治療の必要な部位を調べ、患者さまに最終のイメージをつかんでもらいます。

(2)仮の歯でかみ合わせを上げ調整していきます。
咬合を挙上するだけで、切端咬合まで回復できます。


ワックスアップを参考に歯をサイズダウンし、歯並びや歯の形、色などを患者さんと相談しながら仮歯を作成します。
BOPTで、正中や歯肉のラインの左右対称性など、より美しく再現していきます。
【仮歯】

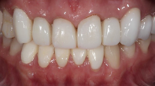
【オールセラミック施術後】




反対咬合を、咬合の挙上と歯のサイズダウン、歯軸の調整で改善したケースです。
結婚式まで半年と期限が切られた治療でしたが、間に合って本当に良かった、忘れられない症例となりました。
| 施術開始 | 2013.10 |
|---|---|
| 年齢・性別 | 26才 女性 |
| 治療期間 | 6ヵ月 |
| 材質・治療費用 | 前歯ジルコニアレイヤ 11万円×11本 |
|
臼歯部のかみ合わせを上げます。 根の治療と、歯を一回り削る必要があります。 |
|


















