正中離開 症例002
前歯に隙間がある症例
患者様の悩み:
「前歯に隙間があるのと、上と下の前歯との咬み合わせにも隙間があるので、セラミック修復で隙間を解消し、きれいにしたい。」

術前

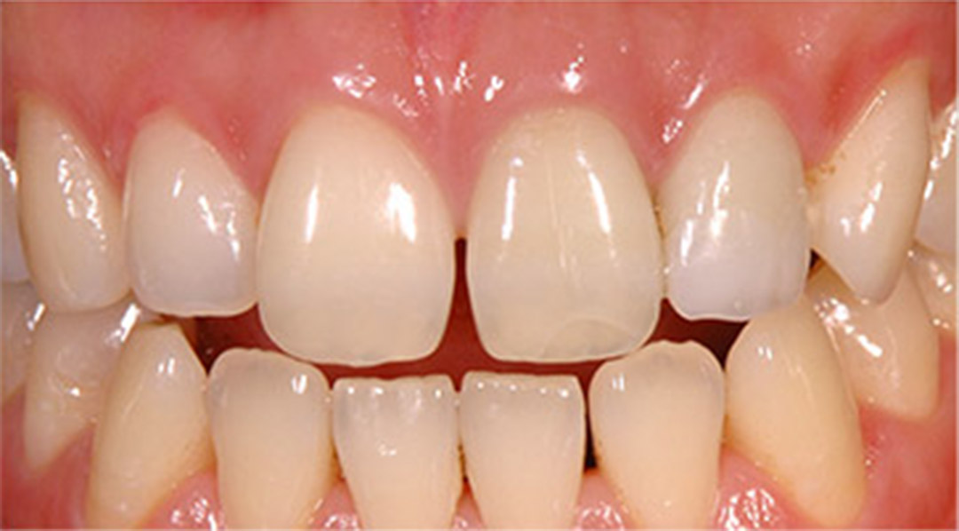
術後
【術前】

(1)ゴムのリングを入れて真ん中に歯を移動させます。

(2)歯の形や大きさ、発音などを、患者さまと相談しながら、仮歯を入れます。

オールセラミック施術後


| 年齢・性別 | 32才 女性 |
|---|---|
| 治療期間 | 4ヵ月 |
| 材質・治療費用 | 前歯ジルコニアレイア 11万円×4本 |
| ※歯を一回り削る必要があります。 | |


















