リカバリー 症例002
歯並びを含む審美性をセラミック修復によって治療した症例
患者様の悩み:
「以前治療した所が劣化し、見た目も良くないので歯並びを含めきれいにしたい。」

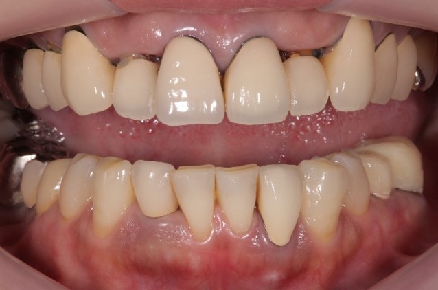
術前

術後
【術前】



(1)歯をサイズダウンし、歯並びや歯の形、色などを患者さんと相談しながら仮歯を作成します。
BOPTで、正中や歯肉のラインの左右対称性など、より美しく再現していきます。
このような再治療のケースはBOPTの最も効果的な分野です。
BOPT
BOPTとは、生物学的形成テクニックというヨーロッパを中心に注目されている最新の審美技術です。BOPTの特徴は、歯そのものを美しくするだけでなく、従来のセラミックよりも歯肉になじみやすく左右対称の歯肉ラインを美しく実現できる点があげられます。
また、清掃性を改善し、口腔内細菌を減らして歯の喪失を減らすとともに、歯周病を改善することで、健康面への効果も期待できます。
【仮歯】

オールセラミック施術後



| 施術開始 | 2019.11 |
|---|---|
| 年齢・性別 | 45才 女性 |
| 治療期間 | 5ヵ月 |
| 材質・治療費用 | 前歯ジルコニアレイヤ 11万円×10本 臼歯ジルコニアクラウン 8万円×7本 インプラント部位 33~35万円×4本 |
|
部位により根の治療と、歯を一回り削る必要があります。 欠損部位に、インプラント治療を施術しています。 |
|
再治療のケースはBOPTの最も効果的な分野です


















